
Nevrologija je interdisciplinarna veda, ki se ukvarja z diagnostiko in zdravljenjem bolezni, ki prizadenejo centralno, periferno in avtonomno živčevje. Sem spadajo bolezni, ki neposredno vplivajo na živčni sistem, kot tudi stanja, ki prizadenejo živčni sistem posredno, kot žilne bolezni (npr. možganska kap) ali mišične bolezni (npr. miopatije).
Nevrološki pregled obsega pogovor z bolnikom o aktualnih težavah, preteklih in sedanjih boleznih, redni terapiji, družinskih boleznih in razvadah. Sledi nevrološki status z oceno nevroloških funkcij ter plan preiskav glede na ugotovitve pri natančnem nevrološkem pregledu. Na osnovi teh ugotovitev indiciramo tudi ustrezno zdravljenje, če je to le mogoče.
Ultrazvok vratnih arterij je neinvazivna, neškodljiva, neboleča preiskava, s katero si lahko prikažemo vratne arterije. Z UZ je moč oceniti morfološke spremembe žilja, kot so ateromatozni plaki (lehe), zožitve ali zapore žil. Preiskava lahko pomembno pripomore v preventivi možgansko žilnih bolezni, na primer možganskih kapi.
Nevrološke preglede v Celju v Specialistični kliniki Dvorec Lanovž opravljata:


Pred pregledom izpolnite spodnji vprašalnik. Dobite ga lahko v ambulanti ali pa ga natisnete in izpolnjenega prinesete s sabo.

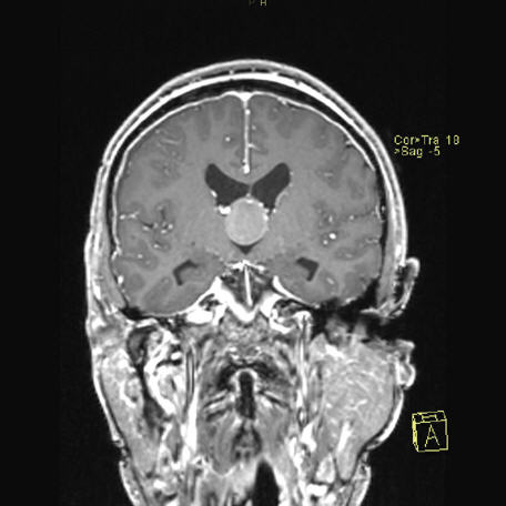
Nevrologija je v zadnjih desetletjih razdeljena na žilno/vaskularno nevrologijo in druge bolezni živčevja. V področje žilne nevrologije spadajo krvavitve, tromboze in embolije, ki se kažejo v splošnem s spremembami zavesti ter motnjami govora, vida ali ohromelostjo udov in predstavljajo zelo urgentna stanja, ki zahtevajo takojšnjo strokovno oskrbo. V splošnem jih poznamo pod terminom možganska kap. Infarkti so zelo velik javnozdravstveni problem, saj so po pogostosti v razvitem svetu kot vzrok smrti na 3. mestu. Pri obravnavi teh stanj je ključnega pomena hitra diagnostika, ki prepreči napredovanje in lahko tudi sanira trenutno bolezen. Ta stanja lahko puščajo za sabo invalidnost in odvisnost v vsakodnevnih aktivnostih.
Obravnava teh stanj je pogosto interdisciplinarna, zajema urgentno radiološko diagnostiko ter možno endovaskularno zdravljenje, prav tako se ista bolezenska stanja pogosto rešujejo tudi z urgentnimi nevrokirurškimi posegi.
Na področju žilne nevrološke patologije ima profilaksa velik pomen in vključuje osveščanje glede načina življenja, prehrane, razvad, kot so kajenje, uživanje alkohola in uporabe nedovoljenih substanc ter preventivne preglede. Ključnega pomena je prepoznava in zdravljenje dejavnikov tveganja, kot so previsok krvni tlak, sladkorna bolezen in hiperlipidemija. V okvir preventive spadajo tudi preiskave, npr. ultrazvok precerebralnega (karotidnega in vertebralnega žilja), ki omogoča zgodnje odkrivanje karotidne bolezni z ali brez pomembnih zožitev arterij na vratu. Zožitve karotid je mogoče zdraviti z znotrajžilnimi posegi, in sicer še pred pojavom infarktnih stanj, s čimer lahko preprečimo velike postinfarktne okvare možganov s posledičnimi invalidnostmi ali celo smrtnimi posledicami.
Žilna nevrologija obsega tudi strokovno področje obravnave glavobolov v širšem pomenu. Ti predstavljajo praviloma manj urgentna stanja, so pa pogostejša nevrološka entiteta. Izjema so hudi nenadni glavoboli, ki kažejo na žilno etiologijo, predvsem možno žilno pogojeno krvavitev v možganskih strukturah, kar so urgentna stanja.
Veliko področje nevrologije predstavljajo bolezni živčevja, ki so v zadnjih 10 letih bistveno bolje zdravljive zaradi izjemnega razvoja zdravil številnih subspecialističnih nevroloških stanj. Med ta stanja spadajo: demence, epilepsija, Parkinsonova bolezen in multipla skleroza. Nevrofiziologi se posebej ukvarjajo z boleznimi, ki prizadenejo centralni živčni sistem in periferne živce, pa tudi bolezni mišic. Specifične nevrofiziološke preiskave omogočajo diagnostiko bolezni mišic, živčno-mišičnega stika, samega živca, hrbtenjače ali pa skorje možganov.
Delo nevrologov lahko glede na značaj problematike poteka ambulantno, urgentna stanja pa zahtevajo takojšnjo obravnavo v urgentnih centrih, na nevroloških oddelkih oziroma v Enotah za možgansko kap ter ob najhujših stanjih v enotah za nevrološko intenzivno terapijo.
Večina slikovne, ultrazvočne, nevrofiziološke in laboratorijske diagnostike je moč izpeljati ambulantno na osnovi predhodnega kliničnega nevrološkega pregleda.
Prim. mag. Marija Šoštarič Podlesnik, dr. med., specialistka nevrologije
Od leta 1995 do 2012 je bila zaposlena na Nevrološkem oddelku v SB Celje, kjer je bila od leta 2007 vodja Enote za možgansko kap. Istega leta je opravila tečaj UZ precerebralnega in intracerebralnega žilja, najprej v Ljubljani, nato pa pridobila s tega področja še evropski certifikat na Nevrološki kliniki v Zagrebu (Bolnica Sestre Milosrdnice).
Od 2012 do 2014 je opravljala delo vaskularne nevrologinje na Kliničnem oddelku za vaskularno nevrologijo in nevrološko intenzivno terapijo v Ljubljani. Leta 2013 je postala tudi glavna mentorica za področje nevrologije.
Od leta 2014 opravlja delo predstojnice nevrološkega oddelka v Celju. Kot asistentka je za področje nevrologije habilitirana pri Medicinski fakulteti v Ljubljani. Leta 2016 je na MF v Ljubljani pridobila naziv magister znanosti za področje nevrologije.
Glavno področje njene strokovne usmeritve so vaskularna nevrologija, multipla skleroza ter migrena oziroma glavoboli. Kot splošna nevrologinja se sooča pri svojem delu tudi z vsemi drugimi nevrološkimi boleznimi.
V zadnjih letih kot aktivna predavateljica sodeluje na številnih nevroloških strokovnih sestankih v Sloveniji. Je članica ekspertne skupine za migreno v Sloveniji, prav tako je od leta 2014 članica Razširjenega strokovnega kolegija za nevrologijo pri MZS v Ljubljani.
Leta 2020 je pridobila naziv primarij.
Pri prvem delu preiskave živce nenevarno električno dražimo, kar zaznavamo s površinskimi elektrodami. Pri drugem delu preiskujemo aktivnost mišic s tankimi igelnimi elektrodami za enkratno uporabo, ki jih zabodemo v mišico, kar pa je malo boleče, podobno odvzemu krvi. Preiskava se opravlja ambulantno, trajanje, od 20 do 60 minut, in obseg preiskave sta odvisna od napotne diagnoze in težav. Vodi jo zdravnik specialist nevrolog s pomočjo nevrofiziološke asistentke. Po opravljeni preiskavi lahko nadaljujete s svojimi vsakodnevnimi opravili.
Botulin toksin je zdravilo, ki ga zdravnik v majhnih količinah vbrizga v prekomerno aktivno mišico ali žlezo. V primeru prekomerno aktivnih mišic deluje na živčno-mišični stik, tako da preprečuje sproščanje prenašalca acetilholina iz živčnih končičev in s tem sprošča mišice. Ugoden učinek običajno nastopi po nekaj dneh do dveh tednih, je prehoden, ni trajen in lahko traja 3 do 4 mesecev ali več.
Apliciranje botulin toksina je učinkovito pri različnih nevroloških stanjih:
Zdravljenje poteka ambulantno. Po predhodnem nevrološkem pregledu se dogovorimo o primernosti terapije z botulinom, o načinu in poteku aplikacije. Sama aplikacija poteka nekaj minut. Včasih si pomagamo z igelno EMG. Ker učinek ni trajen, je potrebno apliciranje ponavljati in glede na trajanje učinka, večinoma na več mesecev.
Najpogostejši neugodni učinek ob apliciranju predstavlja bolečina ob zbodljaju s tanko iglo. Neželjeni učinki so prehodni in večinoma blagi.
Prvič apliciramo botulin toksin v nizkih odmerkih. Glede na izrazitost in trajanje učinka se odmerki lahko kasneje po potrebi zvišujejo.
Neugodni učinki nastopijo predvsem ob apliciranju višjih odmerkov botulin toksina. Višje odmerke se uporablja npr. pri cervikalni distoniji, kjer se lahko pojavi prehodna motnja požiranja; pri blefarospazmu lahko opažamo povešen ustni kot, pri spastičnosti in tremorju pa prekomerno oslabelost mišic. Vsi omenjeni neugodni stranski učinki so prehodni.
Pacienti aplikacije botulin toksina večinoma dobro prenašajo, uporaba botulina pomembno olajša številne težave, kar prispeva k večjemu zaupanju v ta način zdravljenja.
Od leta 2000 do 2010 je bil zaposlen na nevrološkem oddelku v SB Celje, od leta 2010 v SB Slovenj Gradec, kjer je bil med letoma 2014 in 2016 vodja enote za nevrologijo. Od leta 2018 je delno zaposlen v SB Celje in delno v SB Slovenj Gradec. Izobražuje se na strokovnih srečanjih doma in v tujini.
Glavna področja njegove strokovne usmeritve so splošna nevrologija, elektromiografija in uporaba botulin toksina za področje nevrologije.
Naročite se na izbrani termin preiskave, tako da izberete ustrezno preiskavo in termin.
Do ustreznega termina za vaš pregled se z > premikate do želenega termina.